best view popcup 2026 Part 24

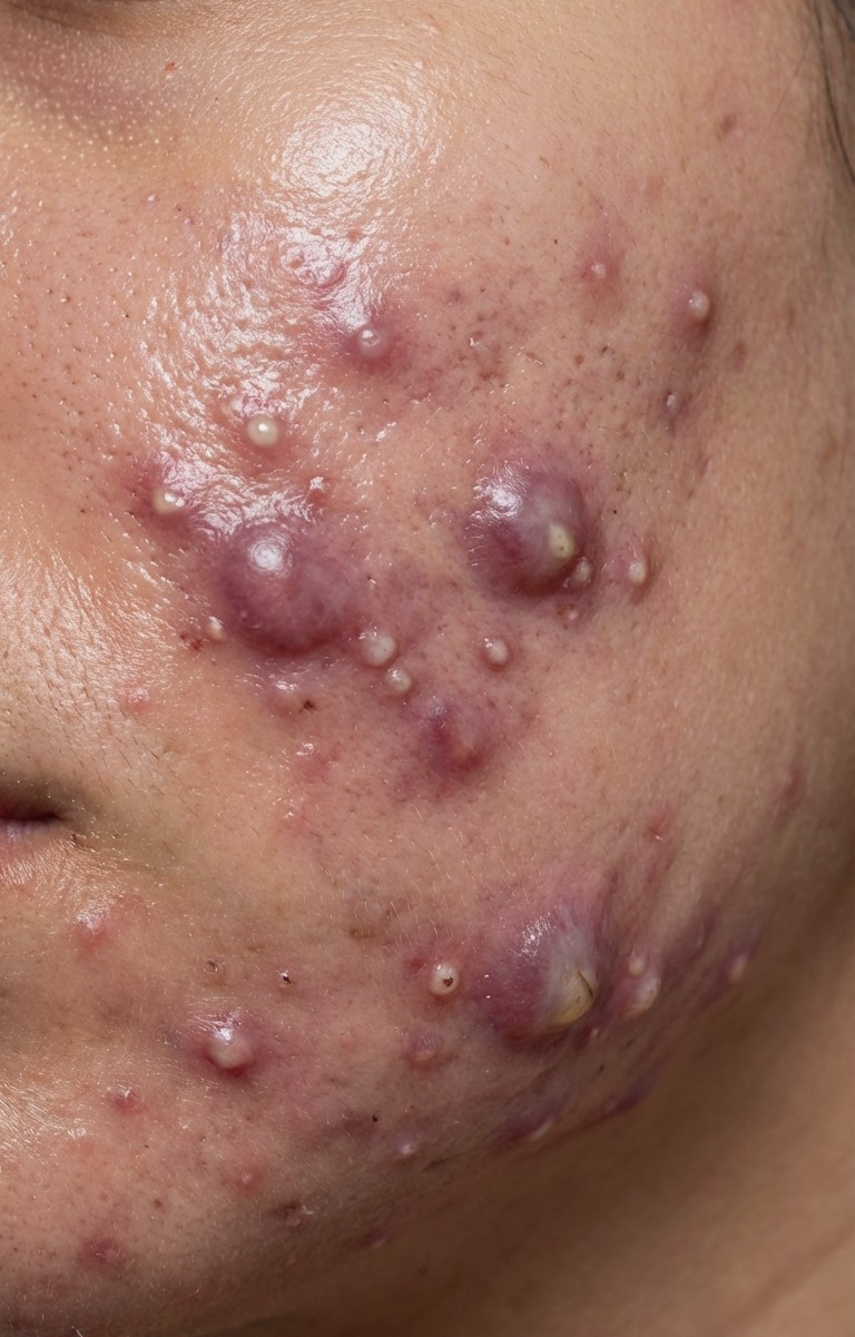
Acne is a common skin condition that affects millions of people worldwide, particularly teenagers and young adults, although it can occur at any age. It develops when hair follicles become clogged with oil (sebum), dead skin cells, and sometimes bacteria. The skin naturally produces sebum to keep it moisturized and protected, but when excess oil is produced, it can mix with dead skin cells and block the pores. This blockage creates an ideal environment for bacteria to grow, especially Cut bacterium acnes, which can trigger inflammation and lead to visible breakouts. Acne most commonly appears on areas of the body where sebaceous (oil) glands are most active, such as the face, forehead, chest, upper back, and shoulders. The condition can present in various forms, including whiteheads, blackheads, papules, pustules, nodules, and cysts, each differing in severity and depth within the skin. Whiteheads are closed clogged pores that appear as small, flesh-colored or white bumps, while blackheads are open clogged pores that turn dark when exposed to air due to oxidation, not dirt as commonly believed. Papules are small, red, tender bumps caused by inflamed or infected hair follicles. When these papules fill with pus, they develop into pustules, which are often recognized as typical pimples with a white or yellow center surrounded by redness. More severe forms of acne include nodules and cysts. Nodules are large, solid, painful lumps beneath the surface of the skin, while cysts are deep, pus-filled lesions that can cause significant pain and may lead to scarring if not properly treated. The severity of acne can range from mild, with occasional breakouts, to severe, persistent cases that require medical intervention. Several factors contribute to the development of acne. Hormonal changes play a significant role, particularly during puberty, menstruation, pregnancy, or periods of high stress. Increased levels of androgens, a group of hormones, can enlarge oil glands and stimulate excess sebum production. Genetics also influence susceptibility, as individuals with a family history of acne are more likely to experience it. Additionally, certain medications, cosmetics, and skincare products that are oily or comedogenic can worsen breakouts. Environmental factors such as humidity and pollution, as well as lifestyle elements like diet, stress, and inadequate skincare routines, may also contribute to flare-ups. Although diet’s exact role remains debated, some studies suggest that high-glycemic foods and dairy products may aggravate acne in certain individuals. Beyond its physical symptoms, acne can have a significant emotional and psychological impact. Visible breakouts can affect self-esteem, body image, and social confidence, especially during adolescence when appearance often feels closely tied to identity. Some individuals may experience anxiety, embarrassment, or even depression due to persistent or severe acne. In cases where scarring occurs, the emotional effects may continue long after active breakouts have subsided. Acne scars can appear as dark spots, raised scars, or indentations in the skin, resulting from inflammation damaging the surrounding tissue during the healing process. Treatment options for acne vary depending on its severity and underlying causes. Mild acne can often be managed with over-the-counter products containing ingredients such as benzoyl peroxide, salicylic acid, or retinoids, which help reduce bacteria, unclog pores, and promote cell turnover. Moderate to severe acne may require prescription medications, including topical antibiotics, oral antibiotics, hormonal treatments, or isotretinoin in more resistant cases. Consistent skincare routines, gentle cleansing, avoiding harsh scrubbing, and using non-comedogenic products are essential for prevention and management. While acne is not a life-threatening condition, it is a complex and multifactorial skin disorder that can significantly affect both physical appearance and emotional well-being. Understanding its causes, types, and treatment options can empower individuals to seek appropriate care and manage their skin health effectively.

Leave a Reply

Your email address will not be published. Required fields are marked *